Overview
This project bridges neuroimaging and physical fabrication to create an interactive, haptic learning tool for neuroanatomy. By converting a T1-weighted MRI slice into a 3D-embossed tactile map with conductive landmarks, the system enables game-based learning inspired by Operation, promoting spatial understanding through touch and immediate feedback.
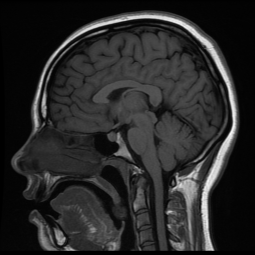
Source data: T1-weighted sagittal MRI from a healthy 20-year-old female (case 37605)
/sagittal_mri.png)
Workflow Summary
1. DICOM/PNG to 3D Model
You can begin with a DICOM slice or a PNG image. If starting from DICOM, load the study into your prefered medical imaging software (eg, 3D Slicer) and export the desired slice as a PNG. Ensure 16-bit grayscale for maximum depth information.
Source options for free medical imaging:
-
The Cancer Imaging Archive (TCIA)
Free, de-identified clinical datasets across CT, MRI, PET, and more.
https://www.cancerimagingarchive.net -
3D Slicer Sample Data (QIICR)
Small, high quality DICOM datasets ideal for testing and teaching.
https://sampledata.slicer.org -
Radiopaedia Cases (some with DICOM downloads)
Not all cases include DICOM, but many do.
https://radiopaedia.org
/sagittal_mri_blender.png)
PNG to 3D Model (Blender):
- Import PNG as image texture in Blender
- Create plane mesh and apply UV mapping
- Add material with displacement/bump node using PNG as input
- Apply modifiers to mesh:
- Subdivision Surface: Level 2 (Catmull-Clark) for smooth topology
- Displace: Strength 1.5–2.0 mm, texture coordinate set to UV
- Solidify: 10 mm thickness for structural integrity
- Export as high-resolution STL for fabrication
2. CNC Fabrication
- Material: ¾″ maple board (16″ × 16″)
- Roughing pass: ¼″ flat-end bit, 3 mm stepdown
- Finishing pass: ⅛″ ball-end bit for fine detail
- Duration: ~12 hours
- Post-processing: Sanding up to 220 grint, stain and oil finish
3. Interactive Electronics (In Progress)
- Identify 32 key anatomical landmarks (e.g., corpus callosum, thalamus, cerebellar vermis)
- Drill holes and insert 8-gauge copper wire at each landmark
- Connect to Arduino Uno circuit for stylus-contact detection
- Provide feedback via piezo buzzer and 16×2 LCD (displays structure name)
Contact
Questions about this workflow? Feel free to reach out.